Лечение пульпита

Лечение пульпита

Если вас мучает боль при надкусывании, употреблении горячей и холодной пищи, ноет зуб или ощущается пульсирующая боль, это повод обратиться к врачу. Подобные симптомы сигнализируют о развивающемся пульпите.

Стоматологическая клиника Сапфир в Оренбурге сохранит здоровье зубов и восстановит внешний вид.

Что такое пульпит зуба?

Пульпит - это заболевание, при котором воспаляется нервно-сосудистый пучок (пульпа). Пациенты часто называют болезнь воспалением нерва.
Соединительную ткань зуба защищает дентин. При своевременном лечении кариеса пульпа остается герметичной из-за твердой оболочки (дентина и эмали). При развитии кариозного поражения целостность костной ткани нарушается, микроорганизмы попадают на мягкую часть, вызывая воспаление.

Причины и профилактика заболевания

К воспалению пульпы приводят следующие причины:

  • При запущенном кариесе разрушающее влияние микроорганизмов продолжает распространяться вглубь и поражает нервно-сосудистый пучок.
  • Несвоевременное обращение к пародонтологу при патологии десен провоцирует образование десневых карманов. Они становятся местом размножения бактерий, которые нарушают костную часть шейки и проникают в мягкие ткани зуба.


Чтобы минимизировать риск развития пульпита, нужно:

  • Проходить обследование у стоматолога не реже, чем раз в 6 месяцев.
  • Обращаться к врачу при первых появлениях дискомфорта, болезненности.
  • Выбирать опытного стоматолога. Именно такие врачи работают в клинике Сапфир.
  • Не ориентироваться только на низкую цену. Оснащение стоматологического кабинета, работа доктора и качественные растворы не могут стоить дешево. В поисках выгоды вы проиграете в качестве, что может привести к полной потере зуба.

Виды гигиены

В зависимости от состояния ротовой полости стоматолог может предложить один из методов очищения:

01

Фиброзный пульпит

При фиброзном пульпите пациент чувствует локализованную в одном зубе ноющую боль. Она возникает во время контакта эмали с горячей, холодной пищей, во время жевания.

02

Гипертрофический пульпит

Для гипертрофической формы характерно появление болезненности нескольких элементов во время еды. Пациенты начинают жевать на противоположной стороне. Наблюдается кровоточивость воспаленной области десны при чистке зубов.

03

Гангренозный пульпит

При гангренозном виде кроме ноющей боли от жевательной нагрузки и употреблении температурных раздражителей появляется неприятный гнилостный запах. Избавиться от него возможно только при вскрытии и прочистке пораженной области.

04

Хронический пульпит

Хроническая форма протекает бессимптомно. Дальнейшее бездействие пациента приводит к стадии обострения, сопровождающейся нестерпимой болью.

Запишитесь на консультацию в стоматологию Сапфир в Оренбурге прямо сейчас. Доктор проведет диагностику ротовой полости, составит план лечения и согласует с вами стоимость процедур.

Достоинства терапии
в клинике Сапфир

Специалисты нашей клиники сохранят ваш зуб и восстановят его функции. Помните, что лечение на ранних стадиях проходит быстрее, чем в запущенном состоянии.
Не стоит откладывать визит к доктору.

Преимущества обращения в нашу клинику:

  • Оборудование последнего поколения предотвращает ошибки при диагностике и лечении.
  • Наши аппараты воздействуют только на пораженную ткань, не затрагивая здоровую область. Искривленные корневые каналы обрабатываются гибкими Ni-Ti инструментами.
  • Благодаря качественной анестезии любые манипуляции безболезненны. Большой выбор обезболивающих препаратов дает возможность доктору использовать средство и дозировку, безопасные для пациента.
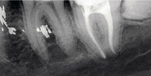
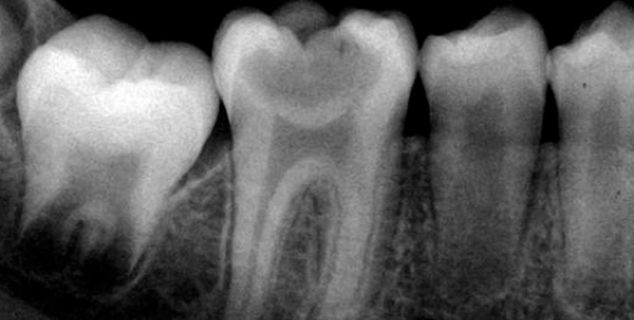
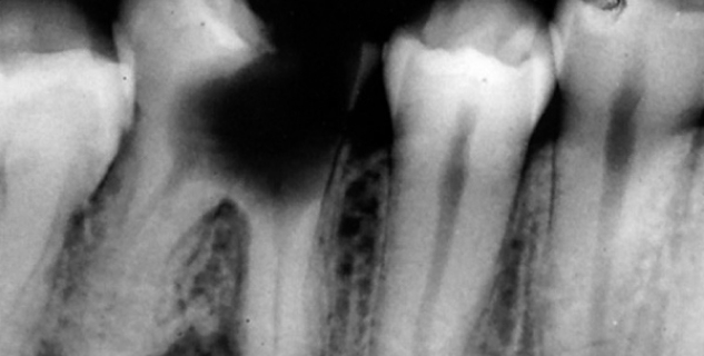
  • Радиовизиограф позволяет выявить количество, длину, строение каналов, качество их прочистки, плотность заполнения пломбировочным составом.
  • Мы используем только стерильные инструменты и оборудование.

Отзывы о нас

Показать все
Ольга

Артём Рустамович Такутдинов, спасибо вам за процедуру отбеливания зубов ультразвуком! Моим зубкам понравилось, теперь рот не закрывается от счастья, а язык довольно проверяет гладкость зубов. Я в восторге! Доктор очень приятный в общении, грамотный, выдержанный! Теперь буду записываться только к вам.

01 августа 2024
Лариса

Огромное спасибо всему персоналу клиники "Сапфир". Уже четыре года лечу здесь зубы. В 2023 году дважды лечила зубы у Мавлютовой Светлане Рафкатовне . Это грамотный,знающий свое дело специалист. С удовольствием идешь к такому доктору. Спасибо огромное Светлане Рафкатовне! И в дальнейшем буду обращаться в "Сапфир". Профессонализм, вежливость,чистота и уют - вот главные критерии этой клиники! Всего наилучшего вашей клиники!

11 ноября 2023
Павел

Спасибо большое Светлане Рафкатовне! Жутко болели десна из-за режущихся зубов мудрости. После осмотра врач сообщила, что подойдет удаление ультразвуковым скальпелем, потому что зубы достаточно сложные. Сама процедура прошла легко и безболезненно, потом были развернутые рекомендации по уходу. Благодаря такому доброжелательному специалисту перестал бояться стоматологов!

09 августа 2023
Екатерина

Нужно было удалить зуб. Очень боялась этой процедуры, потому что от знакомых всегда слышала, что чуть ли не 20 человек нужно, чтобы вырвать один зубик. Но Юрий Михайлович прекрасно со всем справился. После процедуры понятно и доступно проконсультировал, как уменьшить боль. Но по большей части боли не было вообще!

18 июля 2023
Татьяна Миренко

Однозначно приду снова, если с зубами будут какие-то проблемы! Но пока обращалась только с брекетами. Мне посоветовали безлигатурные, так как они очень удобные, с ними зубы корректируются плавно и безболезненно. Цена не кусается, а качество услуги отличное! Спасибо аккуратным и внимательным врачам за ровные зубки!

11 мая 2023
Виктор Юнусов

Чернова Марина Владимировна вернула моей улыбке сияющую белизну. Во время консультации со специалистом выбрали метод Air Flow, который хорошо удаляет темный налет. А это как раз то, что нужно мне, заядлой кофеманке! Процедура эффективная и абсолютно безболезненная, а врач грамотный и внимательный.

04 апреля 2023
Мария

Спасибо Мавлютовой Светлане Рафкатовне! Грамотный специалист и качество обслуживания на высоте. В процессе лечения кариеса никаких неприятных ощущений не было, хотя я очень боялась. Рекомендации от врача очень понятные, никаких замудренных медицинских терминов, объясняет все так, что ясно даже ребенку.

16 февраля 2023
Евгений

Классные специалисты! Несколько лет назад ставил пломбу в одной стоматологии. Все было хорошо, но началась острая боль на месте пломбированного зуба, еще и отдавала во всю челюсть. Ни спать, ни есть, ни говорить было невозможно, обезболивающие почти не помогали. Оказалось, что вторичный кариес. Обратился к Павлу Петровичу и не пожалел: сделал новый зуб лучше прежнего и не так дорого, как я думал!

05 июля 2023
Ника

Очень благодарна Шагиахметовой Альмире Гумаровне. Внезапно во время каждой чистки зубов начали кровоточить десна. Думала, что пустяк, пока не появилось воспаление. Тут уже решила не откладывать и обратилась к специалисту. Альмира Гумаровна сказала, что это пародонтит. Она вылечила мои больные десна и дала рекомендации по профилактике заболевания.

24 июня 2023
Соколов Дмитрий

Если можно было бы поставить десять звёздочек - поставил бы! Клиника однозначно лучшая, по-моему превосходит самые знаменитые и раскрученные "денты" в крупнейших городах РФ. Особая благодарность Выровщиковой Ольге Сергеевне и её напарнице,специалистам- мастерам высочайшего уровня! Очень сложный зуб был пролечен настолько кропотливо и тщательно,что у меня просто нет слов выразить своё восхищение!

12 мая 2023

Запишитесь на консультацию к специалистам стоматологии Сапфир в Оренбурге.

Мы оказываем реставрационные услуги любой сложности, используя аппаратуру последнего поколения, а также передовые методики, по которым работают врачи ведущих клиник мира.

По всем вопросам:
Адрес клиники:
г. Оренбург, ул. Пролетарская 288/2,помещение 175
Всегда на связи: